Вініри у Запоріжжі: переваги, недоліки та процес встановлення
Останніми роками естетична стоматологія стрімко розвивається, пропонуючи дедалі досконаліші методи корекції посмішки. Одним із найбільш популярних рішень стали вініри – тонкі накладки на зуби, що дозволяють швидко та ефективно перетворити зовнішній вигляд. У цій статті наша редакція докладно розгляне всі аспекти встановлення вінірів, їх плюси та мінуси, а також процес їх виготовлення та встановлення.
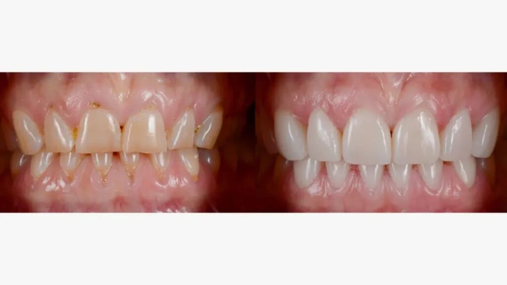
Що таке вініри?
Вініри є найтоншими (0,2-0,7 мм) пластинками з кераміки або композитних матеріалів, які фіксуються на передній поверхні зубів. Вони дозволяють скоригувати форму, колір та положення зубів, створюючи ідеальну посмішку.
За даними Американської академії косметичної стоматології, за останні 5 років кількість процедур із встановлення вінірів зросла на 250%. В Україні цей показник дещо нижчий, але також демонструє стійке зростання – близько 15-20% щорічно.

Переваги вінірів
- Естетичність. Вініри дозволяють досягти ідеальної білизни та форми зубів.
- Довговічність. При правильному догляді керамічні вініри можуть бути 10-15 років.
- Мінімальне втручання. Для встановлення вінірів потрібне мінімальне препарування зубів.
- Стійкість до фарбування. Керамічні вініри не змінюють колір з часом.
- Швидкий результат. Весь процес установки займає зазвичай 2-3 візити до стоматолога.
Володимир Володимирович Ніколов, головний лікар Nikolov Dental Clinic, коментує: «Вініри – це відмінне рішення для пацієнтів, які хочуть швидко та ефективно покращити естетику своєї посмішки. Особливо вони підходять людям із невеликими дефектами зубів – сколами, тріщинами, незначними порушеннями форми. Важливо пам’ятати, що встановлення вінірів – це незворотна процедура, тому рішення про неї має бути зваженим і прийматись після консультації з досвідченим фахівцем»;
Недоліки вінірів
- Необоротність процедури. Для встановлення вінірів потрібно препарування зубів, яке не можна скасувати.
- Висока вартість. Керамічні вініри належать до преміум-сегменту стоматологічних послуг.
- Можливість сколу. При надмірному навантаженні вініри можуть тріснути або відколотися.
- Підвищена чутливість. Деякі пацієнти спостерігають тимчасове посилення чутливості зубів після встановлення.
- Необхідність заміни. Навіть якісні вініри з часом потребують заміни.
Статистика показує, що близько 91% пацієнтів задоволені результатом встановлення вінірів. При цьому в 5-7% випадків протягом перших 5 років може знадобитися корекція або заміна.
Процес встановлення вінірів
- Консультація та планування. На першому етапі проводиться ретельне обстеження стану зубів та ясен. Лікар оцінює можливість встановлення вінірів та обговорює з пацієнтом бажаний результат. Часто використовують цифрове моделювання майбутньої посмішки.
- Підготовка зубів. Наступний етап – препарування зубів. Знімається тонкий шар емалі (03-07 мм) для створення місця під вініри. Потім робляться зліпки зубів.
- Виготовлення вінірів. На основі зліпків у лабораторії виготовляються індивідуальні вініри. Цей процес займає зазвичай 1-2 тижні. У цей час пацієнт носить тимчасові вініри.
- Приміряння та фіксація. На фінальному етапі проводиться приміряння вінірів, при необхідності – їх корекція, а потім постійна фіксація за допомогою спеціального цементу.
«Важливо розуміти, що встановлення вінірів – це не просто технічна процедура, а справжнє мистецтво, – зазначає Володимир Ніколов. – Тут важливі не лише навички лікаря, а й його естетичне чуття, вміння врахувати індивідуальні особливості пацієнта. У нашій клініці ми використовуємо сучасні технології цифрового планування, які дозволяють пацієнту побачити результат ще до початку лікування».

Кому підходять вініри?
Вініри можуть бути рекомендовані у таких випадках:
- Зміна кольору зубів, що не піддається відбілюванню;
- Невеликі сколи чи тріщини;
- Незначні порушення форми чи положення зубів;
- Наявність проміжків між зубами (діастеми);
- Бажання покращити естетику посмішки.
За статистикою, близько 65% пацієнтів, які звертаються за встановленням вінірів – це люди віком від 31 до 50 років. 70% із них – жінки.
Протипоказання до встановлення вінірів
- Серйозні порушення прикусу;
- Бруксизм (скрегіт зубами);
- Недостатня кількість здорової емалі;
- Карієс або захворювання пародонту на активній стадії;
- Порушення згортання крові.
Догляд за вінірами
Правильний догляд за вінірами багато в чому схожий на догляд за природними зубами:
- Регулярне чищення зубів м’якою щіткою та пастою без абразивних частинок;
- Використання зубної нитки;
- Відмова від надмірно твердої їжі;
- Регулярні профілактичні огляди стоматолога.
За дотримання цих правил, за даними досліджень, 95% вінірів зберігають відмінний стан протягом 10 років після встановлення.
Вартість вінірів у Запоріжжі
Ціна на вініри може значно змінюватись в залежності від регіону, клініки та використовуваних матеріалів. У середньому по Україні вартість одного керамічного вініру становить від 12 000 до 30 000 гривень. Композитні вініри зазвичай дешевші – від 7 000 до 15 000 гривень за одиницю.
«Важливо розуміти, що економія на якості матеріалів чи кваліфікації лікаря може призвести до незадовільного результату та додаткових витрат у майбутньому, – попереджає Володимир Ніколов. – При виборі клініки варто звертати увагу на досвід фахівців, технології та матеріали, що використовуються, а також на відгуки пацієнтів».
Висновок
Вініри є ефективним способом швидкого перетворення посмішки. Вони дозволяють скоригувати більшість естетичних дефектів зубів, забезпечуючи довготривалий результат. Однак, як і будь-яка медична процедура, встановлення вінірів вимагає ретельного планування та виконання кваліфікованим фахівцем.
При ухваленні рішення про встановлення вінірів важливо зважити всі за і проти, обговорити можливі альтернативи з лікарем та мати реалістичні очікування від результату. При правильному підході вініри можуть стати чудовим вкладенням у вашу посмішку та впевненість у собі на довгі роки.
Матеріал опубліковано на правах реклами
0